DENTAL CLEANING
DENTAL CLEANING
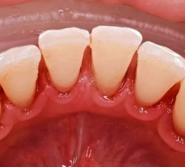
A professional dental cleaning is a great way to keep your teeth and gums healthy. A dental cleaning removes plaque and tartar buildup and helps keep your mouth free of bacteria and infection. Without care, attached gums can recede leaving roots and bone exposed which can contribute to gum disease called periodontitis. By receiving a dental cleaning every six months, you can keep your oral health in check. A professional cleaning in the clinic and in combination with brushing and flossing at home, prevents and will have teeth in very healthy conditions.
Be sure to schedule your dental cleanings regularly to keep your smile healthy.
Frequent questions
What are the benefits of regular dental cleanings?
How long does a dental cleaning take?
Can I eat after a dental cleaning?
What are the benefits of regular dental cleanings?
Regular dental cleanings help maintain good oral health. Some benefits include: Remove plaque and tartar by preventing buildup that can lead to gum disease, Prevent tooth decay by eliminating bacteria that cause tooth enamel to break down, Improve tooth appearance by removing stains and surface tartar, Detect dental problems in early stages, such as early cavities or gum disease, facilitating more effective treatment.
How long does a dental cleaning take?
The time needed for a dental cleaning can vary depending on the amount of plaque and tartar buildup, as well as overall oral health. Typically, a routine dental cleaning can last anywhere from 30 minutes to an hour.
Can I eat after a dental cleaning?
Yes, you can eat after a dental cleaning. However, you may experience some tooth sensitivity due to the removal of plaque and tartar. It is advisable to avoid very hot or cold foods and drinks during the first hours after the procedure.
SCHEDULE YOUR VIRTUAL CONSULTATION NOW!
YOU JUST NEED TO FOLLOW THESE SIMPLE STEPS
Don’t let distance be an impediment to transform your smile! With the accompaniment of our group of experts, we offer a personalized experience from wherever you are to analyze your case and give you a treatment plan.
Your smile, our specialty!
We have a solution for every dental need with prices to fit almost any budget and a wide variety of payment methods including credit of course




